Az „Alaptól az áttörésig” sorozat azt mutatja be, hogyan indítanak el az Energiaügyi Minisztérium (DOE) Tudományos Irodájának a National Labs-ban nyújtott finanszírozásai új technológiákat, amelyek átalakítják életünket.
Egy brazil fogorvos Oklahomában kezdte tanítani. Egy friss technológiai ötletet követett, ami Kelet-Tennessee-be vonzotta. Az Energiaügyi Minisztérium Oak Ridge National Lab-jában (ORNL) a legkiválóbb tudományos felfedezésekre és elit kutatási eszközökre támaszkodott. Megépítette és tesztelte nagy sikerét: az első tartós antibakteriális ragasztógyantát fogászati javításokhoz.
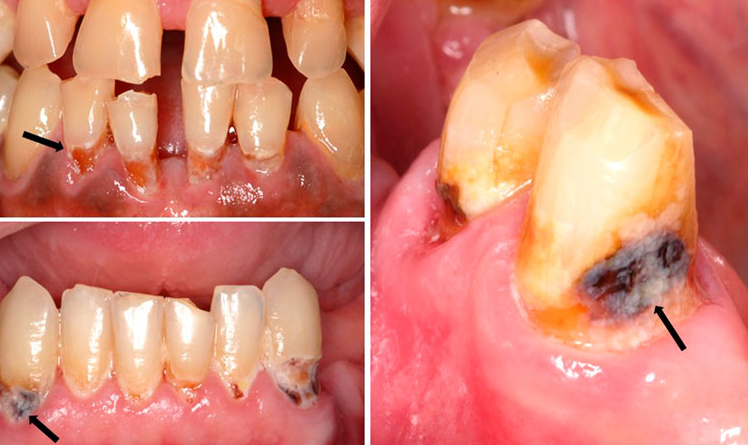
Fernando Luis Esteban Florez, az Oklahomai Egyetem Fogorvostudományi Karának teljes munkaidős docense és kutatója, célja, hogy megakadályozza a baktériumok új szuvasodást okozását a tömések és koronák körül. Ezért a legtöbb javítást öt-hét évente cserélik.
A célom az volt, hogy olyan fogászati ragasztókat készítsek, amelyek évekig védik a fogakat a szájüregi baktériumoktól – mondta Esteban Florez, a vezető feltaláló.
Esteban Florez Sharukh Khajotiával, a főiskola kutatásért felelős dékánhelyettesével és társfeltalálóval dolgozott együtt. Hallottak az Energiaügyi Minisztérium Tudományos Hivatalának felhasználói létesítményeiről. Ez a 28 helyszín országszerte kínál élvonalbeli eszközöket a tudósoknak világszerte, gyakran ingyen vagy alacsony költséggel. A páros javaslatot küldött az ORNL-nek. Egyesíteni akarták erőiket a Nanofázisos Anyagtudományi Központ (CNMS) és a Nagy Fluxusú Izotópreaktor (HFIR) szakértőivel.
Köszönöm az Energiaügyi Minisztérium felhasználói programját. Mélyreható tudományos háttérrel nem rendelkező fogorvosként ez lehetővé tette számomra, hogy az Oak Ridge legjobb készségeit és felszerelését használjam. Hat-nyolc évvel csökkentette a munkaidőmet – mondta Esteban Florez.
A nano- és neutrontelephelyek éleslátó kutatóinak köszönhetően a csapat apró részecskéket állított elő, amelyek tartós csíraölő hatással rendelkeznek. Az orvosok és fogorvosok gyantákba és műanyagokba keverhetik ezeket az egészségügy, a fogászati ellátás, a közbiztonság és az építőipar számára.
A csoport finomhangolta a titán-dioxid darabokat. Gyorsan ható vegyszereket, úgynevezett reaktív oxigénfajtákat állítanak elő. Ezek elpusztítják a baktériumokat, vírusokat és kórokozókat. A gyógyszerekkel ellentétben a baktériumok nem tudnak védekezni ellenük.
Ezután a részecskéket egy ragasztóba szórják, amelyet a fogorvosok gyakran használnak. A CNMS-nél egy héliumion-oszcilloszkóp ellenőrizte a tesztragasztó mintákat. A HFIR-nél a Bio-SANS eszköz kis szögű neutronszórása is átvizsgálta őket. Ez segített meghatározni a legjobb részecskeformát, módosításokat és eloszlási módszert.
A Bio-SANS lehetővé tette számunkra, hogy megfigyeljük, hogyan tapadnak a fehérjék a részecskékhez, és hogyan terjednek egyenletesen a ragasztóban – mondta Khajotia.
A teszteredmények újdonságnak bizonyultak a fogászati munkában. A részecskék simán, csomók nélkül terjedtek szét. Jól működtek a műanyagban, és keményen harcoltak a baktériumok ellen, még fény nélkül is – mondta Esteban Florez.
Tárgyalásokat folytatunk egy vezető fogászati céggel, hogy ezt a szabadalmaztatott technológiát számos termékhez értékesítsük – mondta Esteban Florez. Ez a rugalmas csíraölő műanyag fogászati javító készletekhez, fehérítő készletekhez, orvosi eszközökhöz és festékekhez illik olyan helyeken, mint a kórházak és a repülőterek, hogy csökkentse a baktériumok és vírusok számát.















